반응형
임플란트 절차는 보통 여러 단계로 진행됩니다.
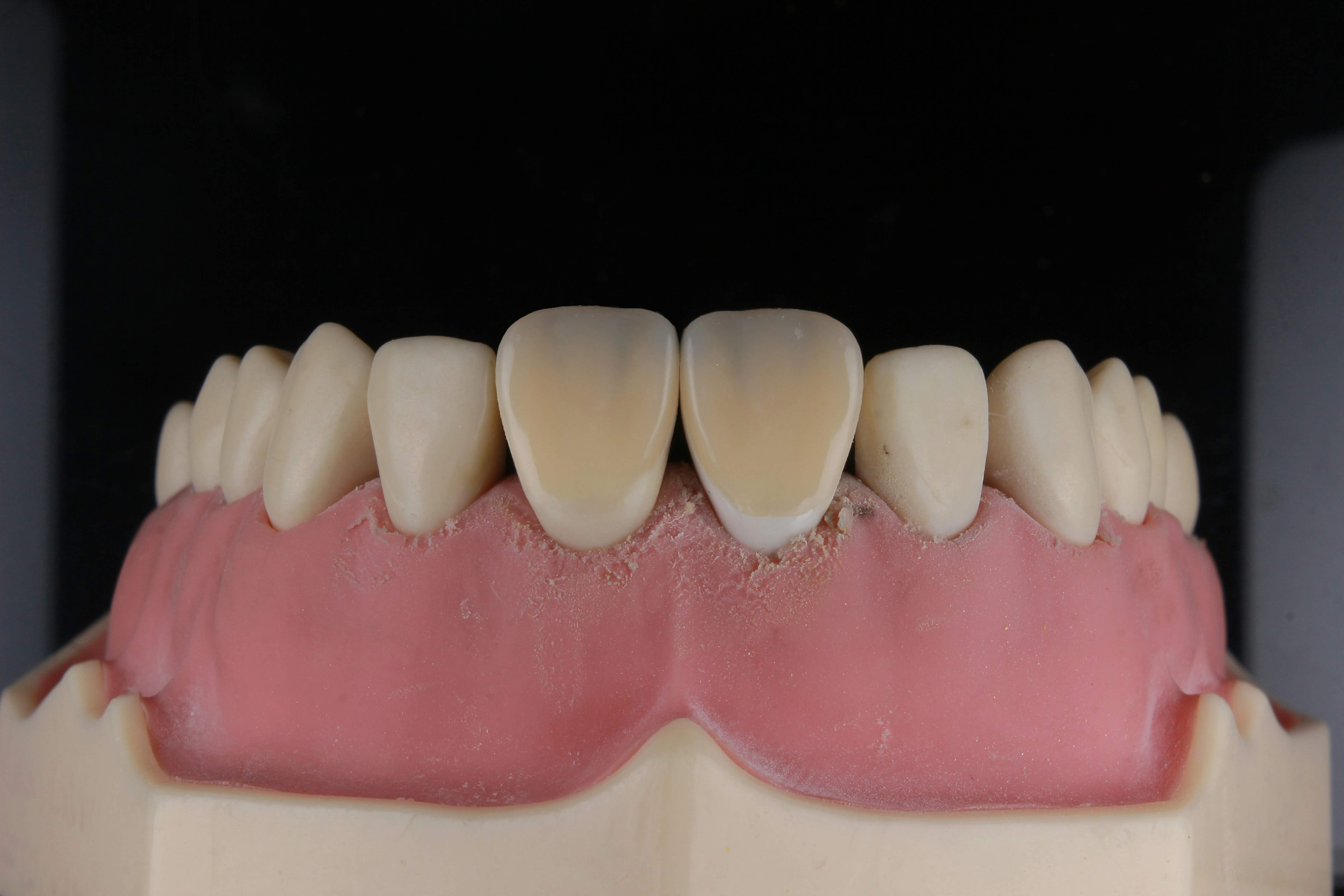
1. 처음에는 초기 상담을 통해 치과 의사가 구강 건강을 평가하고 맞춤 치료 계획을 수립합니다. 여기에는 X선 및 3D 이미지를 통해 턱뼈의 상태를 평가하고 임플란트의 최적 위치를 결정하는 과정이 포함될 수 있습니다. 턱뼈의 밀도가 부족한 경우, 뼈 이식이 필요할 수 있으며, 이는 전체 과정에 추가적인 시간과 비용이 소요될 수 있습니다.
2. 수술 준비가 완료되면, 임플란트 시술 자체는 일반적으로 12시간이 걸리며 국소 마취 하에 진행됩니다. 이 단계에서 티타늄 포스트가 턱뼈에 외과적으로 삽입됩니다. 이후, 임플란트가 뼈와 융합되는 데 36개월의 치유 기간이 필요합니다.
3. 치유가 완료되면, 어버트먼트를 부착하는 두 번째 소규모 시술이 수행됩니다. 마지막으로, 짧은 치유 기간 후에 맞춤형 크라운이 어버트먼트에 고정됩니다. 전체 과정이 몇 개월이 걸릴 수 있지만, 대부분의 환자는 안정적이고 자연스러운 치아 결과가 기다릴 가치가 있다고 생각합니다.







반응형